セルフホワイトニングQ&A|痛み・効果・安全性についてよくある質問まとめ
無人サロンSOSOでも、初めての方から似たような質問をいただくため、この記事では代表的なQ&Aをまとめてお答えします。

Q1. しみたり痛みはありますか?
無人サロンSOSOのセルフホワイトニングは、酸化チタンを使った光触媒ホワイトニング方式のため、しみる原因となる過酸化水素を使用していません。
そのため、歯科ホワイトニングに比べて痛みや刺激がほぼないのが特徴です。
「痛いのが苦手でホワイトニングを避けてきた」という方でも安心して受けられます。
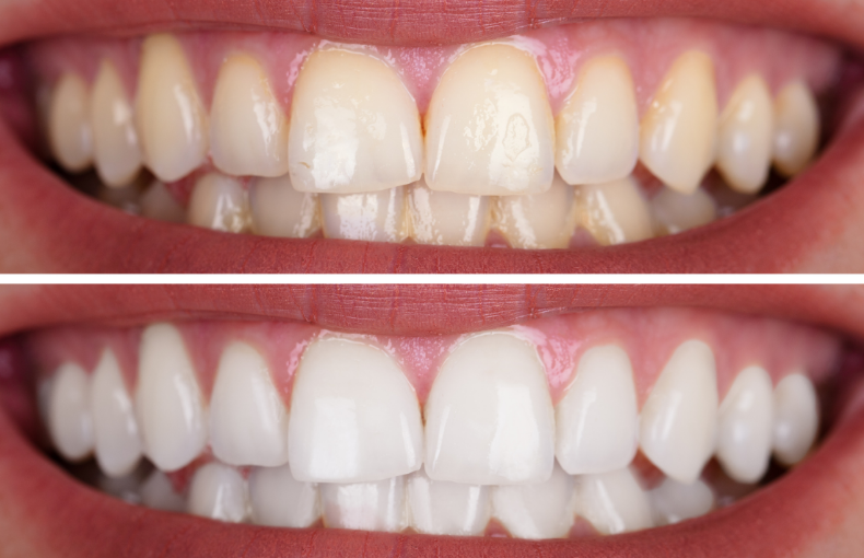
Q2. 何回で白くなりますか?
個人差はありますが、ほとんどの方が1回〜3回で明るさを実感します。
特にコーヒー・紅茶・ワイン・タバコによる着色は、表面の汚れが分解されることで効果が出やすいです。
イベント前に1回だけ利用する人もいれば、理想の白さに近づけるために5回以上続ける人もいます。

Q3. 虫歯や矯正中でもできますか?
基本的に可能です。
セルフホワイトニングは表面の汚れを分解するケアなので、歯に大きな負担はありません。
矯正中の方:
- ワイヤーの間や装置の周りも照射OK
- ジェルがつきにくい部分は効果が出にくい場合あり
虫歯がある方:
- 痛みが出ないのが光触媒方式のメリット
- 大きな治療中の歯は無理に当てないこと
心配な場合は無理せず避けて照射してください。
Q4. 1回の所要時間はどれくらい?
無人サロンSOSOでは、ホワイトニング1回の目安は約30分です。
- クリーニング:3分
- ジェル塗布:2〜3分
- LED照射(8〜10分 × 2回):18分
サクッと通えるため、仕事帰りや空き時間にも利用しやすいと好評です。

Q5. 効果はどれくらい持続しますか?
平均的には2〜4週間ほど持続します。
着色の原因となる飲食物(コーヒー・紅茶・ワインなど)が多い方は戻りが早くなるため、月2回程度のペースが理想です。
無人サロンSOSOは24時間利用できるため、メンテナンスとしても通いやすいのが魅力です。
Q6. セルフと歯科ホワイトニングはどう使い分ける?
セルフホワイトニングが向いている人:
- とにかく気軽に白くしたい
- 痛みが苦手
- コストを抑えたい
- 自然な白さを目指したい
歯科ホワイトニングが向いている人:
- 真っ白な仕上がりを目指したい
- 短期間で目に見える白さまで上げたい
- 内部の変色が強い
セルフは「自然な白さに戻すケア」、歯科は「内部から白くする漂白」。
この違いを知っておくと選びやすくなります。
無人サロンSOSOが選ばれる理由
- 完全個室で周りの目を気にしない
- ホワイトニング初心者でも簡単にできる
- 痛みが少なく、矯正中でも続けやすい
- 24時間営業で通いやすい
- 通い放題プランありでコスパが良い
セルフホワイトニングは、明るく清潔感のある印象をつくる上でとても続けやすいケアです。
初めての方でも安心して始められるよう、SOSOは設備と環境を整えています。
オンラインで叶える、美の新習慣。
無人サロン SOSO は シェアクリニック と提携しています。
医師によるオンライン診察で、医療ダイエットやまつ毛美容液のご相談・お薬提供が可能です。
- 通院不要・スマホで完結
- 女性ドクター在籍で安心
- プライバシーに配慮したオンライン診療
おうちでも、サロン品質のケアを。
KAOTREEオンラインショップでは、
美容室専売のスカルプ・ヘアケア・スキンケア商品を販売しています。
忙しい毎日に、少しのご褒美を。

